1、背景
氨甲酰磷酸是生物合成代謝中精氨酸與嘧啶的重要前體物質,在工業微生物生產精氨酸與嘧啶及其衍生物中發揮關鍵作用。
2、目的
在大腸桿菌Escherichia coli BW25113中比較氨甲酰磷酸不同合成途徑的催化效率。
3、方法
在大腸桿菌Escherichia coli BW25113中過表達鳥氨酸氨甲酰基轉移酶(OTC)的基礎上,分別過表達大腸桿菌自身的氨基甲酸激酶(CK)和氨甲酰磷酸合酶(CPS Ⅱ)并表征其反應效果。通過優化底物供應(調整底物濃度與引入L-谷氨酰胺合成酶)對CK與CPS Ⅱ的催化反應進行優化。
4、結果
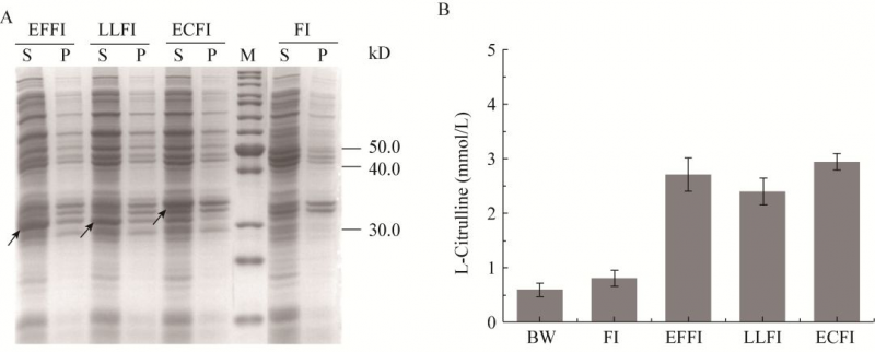
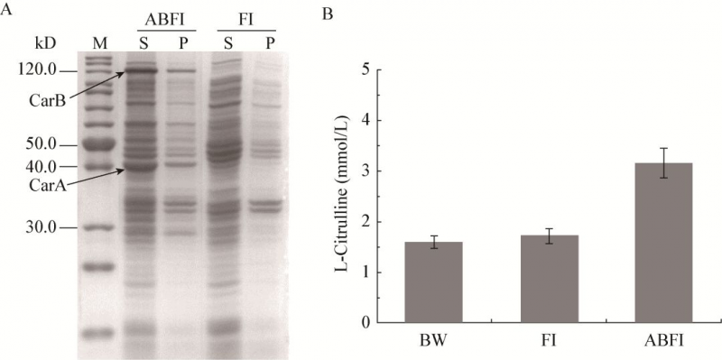
在大腸桿菌中過表達OTC,建立細胞水平氨甲酰磷酸檢測體系。在此基礎上比較不同來源的CK,發現大腸桿菌來源的CK效果最好,50 mmol/L NH4HCO3條件下全細胞催化9 h得到2.95±0.15 mmol/L L-瓜氨酸;過表達CPS Ⅱ時,50 mmol/L L-谷氨酰胺催化9 h得到3.16±0.29 mmol/L L-瓜氨酸。通過改變底物NH4HCO3濃度和引入外源L-谷氨酰胺合成酶(GS)等方式對CK與CPS Ⅱ的催化反應分別進行優化后,100 mmol/L NH4HCO3條件下,L-瓜氨酸濃度分別提高至4.67±0.55 mmol/L和6.12±0.38 mmol/L,且過表達GS后CPS Ⅱ途徑可以利用NH3,不需要額外添加L-谷氨酰胺。
5、結論
【結論】引入L-谷氨酰胺合成酶后的CPS Ⅱ途徑合成氨甲酰磷酸的能力優于CK途徑,為精氨酸、嘧啶及其衍生物的合成提供了一種更加高效的策略。

圖1 氨甲酰磷酸的不同合成途徑與L-瓜氨酸合成途徑

圖2 SDS-PAGE分析不同來源CK的蛋白表達(A)與催化能力比較(B)

圖3 SDS-PAGE分析CPS Ⅱ的蛋白表達(A)與催化效果(B)

圖4 NH4HCO3濃度對菌株ECFI合成氨甲酰磷酸的影響

圖5 引入兩岐雙岐桿菌來源GS對CPS Ⅱ途徑的影響(A),以及降低L-谷氨酰胺添加量對菌株GSABFI的影響(B)

圖6 兩種合成氨甲酰磷酸途徑的比較








當前所在頁面:















